新前橋の歯医者 長島歯科・矯正歯科は昭和54年に矯正歯科を始めた歴史ある医院で、
豊富な経験と実績をもち、質の高い矯正治療で数多くの患者さまの治療を行ってきました。
常に研鑽を惜しまず、先進の機器と技術で
前橋市はもちろん高崎市や伊勢崎市、群馬県外からもお越しいただいております。

当院は群馬で昭和54年に矯正をはじめた歴史ある歯科医院で、歯科矯正診断料ならびに顎口腔機能診断料の施設基準に適合した自立支援医療(育成医療、更生医療)の指定医療機関です。経験豊富な医師が専門性の高い特殊な矯正も行います。また、日本矯正歯科学会のガイドラインにそった適切な治療を行っています。



目立ちにくい装置を使用することも可能で、透明のマウスピース、白色のワイヤーやブラケットをご用意しています。患者様のご要望に応えられるよう、しっかりと説明をし納得していただいてから治療を行っています。

検査料、装置料、保定料とトータルの料金だと100万を超える病院が多いですが、当院ではトータルで60~90万円くらいで治療を行えます。
※詳しい治療費については診断後にご説明いたします。





インビザライン・アライナーは透明で目立たないため、装着していることがわからず、見た目にストレスを感じさせません。また、取り外しが可能なため、いつでも簡単に歯のお手入れができ、口腔内を健康な状態に保つことができます。
金属製のワイヤーやブラケットを使用しないため、治療期間中に装置が脱落するなどの緊急性を要することがありません。また、金属アレルギーの心配もありません。

歯を動かすためのワイヤーと、ワイヤーを歯に固定するためのブラケットによって構成されている一番スタンダードな矯正治療法です。ほぼすべての症例・症状に対応可能で、時間をかけてしっかり歯並びを改善したい方におすすめです。
前橋市の歯医者 長島歯科・矯正歯科では一般的な金属製のメタル素材から、目立たない白のワイヤーやセラミックブラケットまで種類豊富にご用意していますので、装置が目立つことで治療を躊躇されていた方も安心して矯正を行うことができます。

歯科矯正用アンカースクリューとは、直径1~2mm、長さ6~10mm程度の小さなネジを骨に埋め込み、そのネジを固定源として利用することで歯を動かす矯正治療法です。
アンカースクリューを利用することで従来では難しいとされていた歯の移動も可能になりました。
埋め込むのはとても小さなネジなので手術時の身体的・時間的負担は軽く、治療後も比較的簡単に除去することができます。







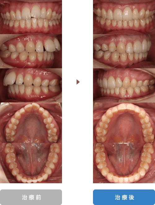
| 主訴 | 歯が重なっている |
|---|---|
| 年齢 | 14歳 |
| 治療期間 | 2年 |
| 通院回数 | 26回 |
| 治療内容 | 顎の大きさに比べて歯が大きく並びきらないので、永久歯がはえてきてから、上下左右一本ずつ抜歯を行いました。その後マルチブラケットシステムにて治療を行いました。見た目だけでなく噛み合わせも良くなり歯ブラシもしやすくなりました。 |
| 抜歯部位 | 上下左右4番抜歯 |
| 治療費 | 約71万円(税込:治療当時税率8%) ※処置料、保定料も含む |
| リスク、副作用 | 骨癒着などにより歯が動かない場合や、 矯正治療によって歯肉退縮する可能性があります。 |
| 担当医 | 長島歯科・矯正歯科 長島雄吾 |

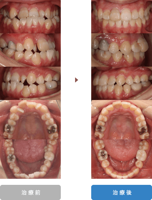
| 主訴 | 上の前歯が内側に入っている |
|---|---|
| 年齢 | 23歳 |
| 治療期間 | 1年7ヶ月 |
| 通院回数 | 24回 |
| 治療内容 | セラミックブラケットとホワイトワイヤーにより治療を行いました。 |
| 抜歯部位 | 非抜歯 |
| 治療費 | 約84万円(税込:治療当時税率8%) ※処置料、保定料も含む |
| リスク、副作用 | 骨癒着などにより歯が動かない場合や、 矯正治療によって歯肉退縮する可能性があります。 |
| 担当医 | 長島歯科・矯正歯科 長島雄吾 |

| 主訴 | 下の歯のガタガタと八重歯が気になる |
|---|---|
| 年齢 | 22歳 |
| 治療期間 | 2年6ヶ月 |
| 通院回数 | 15回 |
| 治療内容 | 上顎第一小臼歯の抜歯を行い、下の前歯のガタガタと上の八重歯の治療をマウスピース型矯正(インビザライン)にて治療を行いました。 |
| 抜歯部位 | 非抜歯 |
| 治療費 | 106万円(税込) ※処置料、保定料も含む |
| リスク、副作用 | 骨癒着などにより歯が動かない場合や、 矯正治療によって歯肉退縮する可能性があります。 |
| 担当医 | 長島歯科・矯正歯科 長島雄吾 |

| 主訴 | 出っ歯が気になる |
|---|---|
| 年齢 | 18歳 |
| 治療期間 | 1年10ヶ月 |
| 通院回数 | 24回 |
| 治療内容 | マルチブラケットシステムにて治療しました。 口元の突出感もなくなり、笑った時の口元がきれいになりました。 また前歯での食事もよくできるようになりました。 |
| 抜歯部位 | 非抜歯 |
| 治療費 | 約69万円(税込:治療当時税率8%) ※処置料、保定料も含む |
| リスク、副作用 | 骨癒着などにより歯が動かない場合や、 矯正治療によって歯肉退縮する可能性があります。 |
| 担当医 | 長島歯科・矯正歯科 長島雄吾 |

| 主訴 | 上の前歯の空隙が気になる |
|---|---|
| 年齢 | 25歳 |
| 治療期間 | 2年1か月 |
| 通院回数 | 15回 |
| 治療内容 | マウスピース型矯正(インビザライン)にて治療を行いました。 下の前歯のねじれが治り上の前歯の突出感もなくなりました。 |
| 抜歯部位 | 非抜歯 |
| 治療費 | 106万円(税込) ※処置料、保定料も含む |
| リスク、副作用 | 骨癒着などにより歯が動かない場合や、 矯正治療によって歯肉退縮する可能性があります。 |
| 担当医 | 長島歯科・矯正歯科 長島雄吾 |

| 主訴 | 上の前歯が前に出ている |
|---|---|
| 年齢 | 26歳 |
| 治療期間 | 2年2か月 |
| 通院回数 | 15回 |
| 治療内容 | 下の前歯が一本ないので相対的に上の歯が出ているように見える為、上の歯を2本抜歯してマウスピース型矯正装置(インビザライン)を使い治療をおこないました。 |
| 抜歯部位 | 非抜歯 |
| 治療費 | 105万円(税込) ※処置料、保定料も含む |
| リスク、副作用 | 骨癒着などにより歯が動かない場合や、 矯正治療によって歯肉退縮する可能性があります。 |
| 担当医 | 長島歯科・矯正歯科 長島雄吾 |

| 主訴 | 前歯が出ているのが気になる |
|---|---|
| 年齢 | 26歳 |
| 治療期間 | 2年3か月 |
| 通院回数 | 20回 |
| 治療内容 | 上顎第二小臼歯の抜歯を行い、下の前歯の叢生の改善と出っ歯の改善、左上の鋏状咬合の改善をマウスピース型矯正(インビザライン)にて治療を行いました。 |
| 抜歯部位 | 非抜歯 |
| 治療費 | 109万円(税込) ※処置料、保定料も含む |
| リスク、副作用 | 骨癒着などにより歯が動かない場合や、 矯正治療によって歯肉退縮する可能性があります。 |
| 担当医 | 長島歯科・矯正歯科 長島雄吾 |

| 主訴 | 上の前歯が出ている |
|---|---|
| 年齢 | 19歳 |
| 治療期間 | 2年2か月 |
| 通院回数 | 13回 |
| 治療内容 | 上下左右の虫歯の治療を行った後、上顎中切歯の唇側傾斜を全体的な遠心移動とIPR(エナメル質の削合)を行い、マウスピース型矯正(インビザライン)にて治療を行いました。 |
| 抜歯部位 | 非抜歯 |
| 治療費 | 102万円(税込) ※処置料、保定料も含む |
| リスク、副作用 | 骨癒着などにより歯が動かない場合や、 矯正治療によって歯肉退縮する可能性があります。 |
| 担当医 | 長島歯科・矯正歯科 長島雄吾 |

| 主訴 | かみ合わせが逆になってきた |
|---|---|
| 年齢 | 10歳 |
| 治療期間 | 約4年(※永久歯に生え変わる経過観察期間も含めて) |
| 通院回数 | 35回 |
| 治療内容 | まずリンガルアーチという装置で前歯の改善を行いました。乳歯が全て永久歯に生え変わるまで噛み合わせやむし歯のチェックをしていき、マルチブラケット装置を使い治していきました。 |
| 抜歯部位 | 非抜歯 |
| 治療費 | 約82万円(税込:治療当時税率8%) ※処置料、保定料も含む |
| リスク、副作用 | 骨癒着などにより歯が動かない場合や、 矯正治療によって歯肉退縮する可能性があります。 |
| 担当医 | 長島歯科・矯正歯科 長島雄吾 |

| 主訴 | 下の歯が上の歯より前に出ている |
|---|---|
| 年齢 | 17歳 |
| 治療期間 | 1年8ヶ月 |
| 通院回数 | 25回 |
| 治療内容 | リンガルアーチとマルチブラケットシステムにて治療しました。上下反対だったのが噛み合わせも改善し、見た目も良くなりました。 |
| 抜歯部位 | 非抜歯 |
| 治療費 | 約78万円(税込:治療当時税率8%) ※処置料、保定料も含む |
| リスク、副作用 | 骨癒着などにより歯が動かない場合や、 矯正治療によって歯肉退縮する可能性があります。 |
| 担当医 | 長島歯科・矯正歯科 長島雄吾 |

| 主訴 | 噛み合わせが反対なのが気になる |
|---|---|
| 年齢 | 11歳 |
| 治療期間 | 2年 |
| 通院回数 | 20回 |
| 治療内容 | 反対咬合の改善を図るためにチンキャップとマルチブラケット装置を使用しました。 |
| 抜歯部位 | 非抜歯 |
| 治療費 | 89万円(税込:治療当時税率8%) ※処置料、保定料も含む |
| リスク、副作用 | 骨癒着などにより歯が動かない場合や、 矯正治療によって歯肉退縮する可能性があります。 |
| 担当医 | 長島歯科・矯正歯科 長島雄吾 |

| 主訴 | 下の歯が出ている |
|---|---|
| 年齢 | 35歳 |
| 治療期間 | 2年11か月(途中妊娠の為来院できない時があった) |
| 通院回数 | 22回 |
| 治療内容 | 顎変形症の手術は希望しておらず、マルチブラケット装置にて治療を行いました。 |
| 抜歯部位 | 非抜歯 |
| 治療費 | 89万円(税込:治療当時税率8%) ※処置料、保定料も含む |
| リスク、副作用 | 骨癒着などにより歯が動かない場合や、 矯正治療によって歯肉退縮する可能性があります。 |
| 担当医 | 長島歯科・矯正歯科 長島雄吾 |

| 主訴 | 奥歯で咬んだ状態で前歯が当たらない |
|---|---|
| 年齢 | 27歳 |
| 治療期間 | 2年2ヶ月 |
| 通院回数 | 25回 |
| 治療内容 | 手術をすることなく、マルチブラケットシステムにて治療しました。前歯でかみ切るのが難しかったのがしっかり噛み切れるようになりました。 |
| 抜歯部位 | 非抜歯 |
| 治療費 | 約70万円(税込:治療当時税率8%) ※処置料、保定料も含む |
| リスク、副作用 | 骨癒着などにより歯が動かない場合や、 矯正治療によって歯肉退縮する可能性があります。 |
| 担当医 | 長島歯科・矯正歯科 長島雄吾 |

| 主訴 | 前歯でかみずらい |
|---|---|
| 年齢 | 23歳 |
| 治療期間 | 2年7ヶ月 |
| 通院回数 | 19回 |
| 治療内容 | マウスピース型矯正(インビザライン)にて治療を行い、前歯でもしっかりかめるようになりました。 |
| 抜歯部位 | 非抜歯 |
| 治療費 | 約111万円(税込) ※処置料、保定料も含む |
| リスク、副作用 | 骨癒着などにより歯が動かない場合や、 矯正治療によって歯肉退縮する可能性があります。 |
| 担当医 | 長島歯科・矯正歯科 長島雄吾 |

| 主訴 | 前歯にすき間がある |
|---|---|
| 年齢 | 19歳 |
| 治療期間 | 2年3ヶ月 |
| 通院回数 | 28回 |
| 治療内容 | 上の前歯に隙間があった為空気がもれてしまうとのことでしたがきれいに隙間が閉じました。 |
| 抜歯部位 | 非抜歯 |
| 治療費 | 約72万円(税込:治療当時税率8%) ※処置料、保定料も含む |
| リスク、副作用 | 骨癒着などにより歯が動かない場合や、 矯正治療によって歯肉退縮する可能性があります。 |
| 担当医 | 長島歯科・矯正歯科 長島雄吾 |

| 主訴 | 噛み合わせが深く下の前歯が上の歯ぐきにあたる |
|---|---|
| 年齢 | 13歳 |
| 治療期間 | 1年11ヶ月 |
| 通院回数 | 26回 |
| 治療内容 | マルチブラケットシステムにて治療しました。 噛み合わせが深く、下の歯が上の歯ぐきに当たっていましたが、理想的な高さになりました。 |
| 抜歯部位 | 上顎左右4番、下顎左右5番抜歯 |
| 治療費 | 約71万円(税込:治療当時税率8%) ※処置料、保定料も含む |
| リスク、副作用 | 骨癒着などにより歯が動かない場合や、 矯正治療によって歯肉退縮する可能性があります。 |
| 担当医 | 長島歯科・矯正歯科 長島雄吾 |